Neoplasia
- Neoplasia : 종양 형성. “new growth”
- 세포가 원래 크기를 넘어 계속 증식하여 “neoplasm”을 형성함
- common term : cancer(“crab”), tumor(“swelling”)
- oncology(종양학) ← “oncos”(=tumor)에서 옴
- neoplasm, tumor는 benign & malignant 모두 포함 / cancer = malignant만
- benign(“harmless”) : 주위 조직으로 침투하거나 다른 신체 장기로 퍼져나가지 않음, 대체로 치료 가능
- malignant(“harmful”) : 방치하면 주위 조직으로 침습, 전이되어 몸의 기능을 떨어뜨리고 죽음에 이르게 함
Preneoplastic Changes (전조증상)
- 전조증상 : hyperplasia(세포 수 증가), hypertrophy(세포 크기 증가), metaplasia(세포 종류 변형), dysplasia(성장 이상)
- 이러한 전조 증상은 대체로 reversible
- 그 중 metaplasia와 dysplasia는 preneoplasia → neoplasia 변화할 때 계속 나타남
- anaplasia는 neoplasia로의 irreversible progression을 나타냄
Tumor types
- 대부분 mesenchymal or epithelial
- 발생 단계에서 mesoderm에 기원하는 cell에서 발생
- spindle cells들이 배열되어 있음
- mesenchymal cells에서 기원한 benign tumor에는 ‘-oma(종)‘를 붙임
- mesenchymal cells에서 기원한 malignant tumor은 ‘sarcoma(육종)‘라고 함
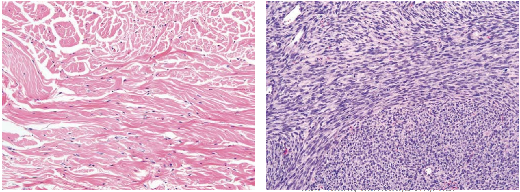
- ex) fibroma: fibroblast orgin의 양성 종양 / fibrosarcoma: fibroblast의 악성 종양
왼쪽은 fibroma, 오른쪽은 fibrosarcoma

- ex) fibroma: fibroblast orgin의 양성 종양 / fibrosarcoma: fibroblast의 악성 종양
왼쪽은 fibroma, 오른쪽은 fibrosarcoma
- hematopoietic system의 cell들은 mesenchymal
- 순환하는 혈액이나 그 precursors에서 발생한 악성 종양은 “leukemia(백혈병)“이라고 함
- abnormal hematopoietic cells가 아주 많다
- endoderm, mesoderm, ectoderm에서 모두 기원 가능
- ’adenoma’, ‘papilloma’, ‘polyp’ 모두 benign epithelial tumor를 이르는 말
- Adenoma : glandular 또는 tubular epithelium에서 유래한 종양 (ex. 유선, 신장)
- papilloma(유두) : (muco)cutaneous surface에서 바깥으로 자라는(exophytic) 종양
- polyp : mucosal surface에서 자람, papilloma보다 좀 더 큰 경우
- ’carcinomas’ (=cancer) : 모든 malignant tumor를 통칭
Mixed tumors
- multiple cell types를 포함하는 경우
- 개 혼합 유선종양(mixed mammary gland tumor)이 대표적

- Teratomas : totipotential germ cell에서 유래, 3개 배엽에서 나올 수 있는 모든 세포가 다 성장, 특이case
Tumor-like lesions
- Hemartomas :
- Choristomas :
Tumor Nomenclature
