KEY Points
- 정상 해부학 구조를 이해한다.
- 자세에 따른 radiographs의 차이를 이해한다.
- Normal variation과 abnormal finding를 구별할 줄 안다.
1. Normal Anatomy
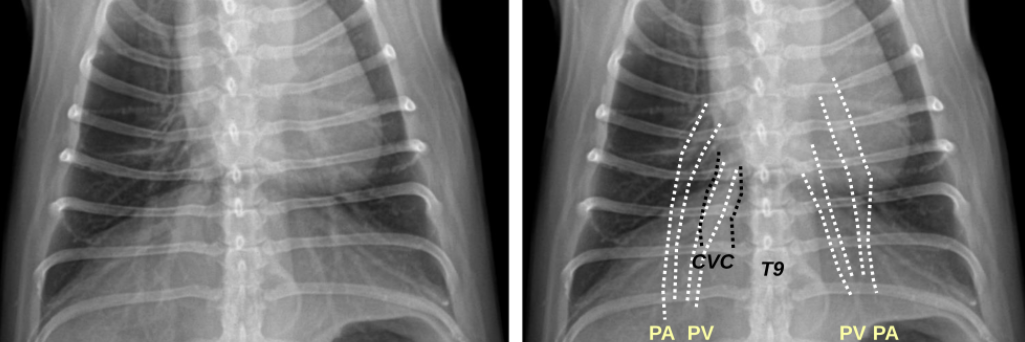
| Thorax | |
|---|---|
![]() | ![]() |
![]() | ![]() |
![]() | ![]() |
![]() | ![]() |
| Airways |
|---|
![]() |
| 정상적인 공기의 흐름 : Trachea - Bronchus - Bronchioles - Lung |
| Upper respiratory system |
|---|
![]() |
![]() |
![]() |
2. 흉부 방사선 판독 시 주의 포인트
- 갈비가 양쪽으로 겹치게 찍어야 함.
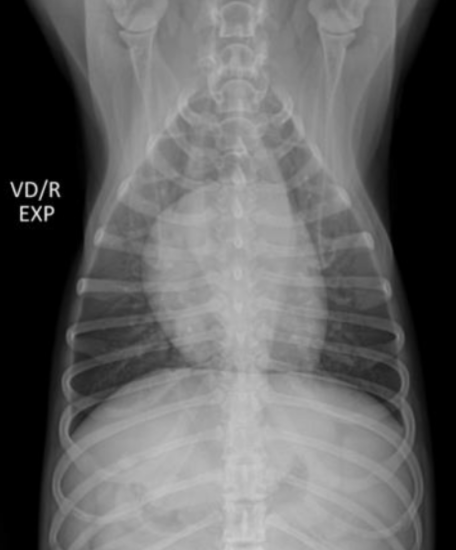
- 흉부는 흡기에 찍어야 함. (아니면 횡격막과 심장이 겹칠 수 있음.)
- 복부는 호기에 촬영.
3. Positioning
기본 원칙
- 척추뼈와 흉골은 겹치게 찍는다.
- RL이 기본 자세이다.
| RL (Right Lateral) | LL (Left Lateral) |
|---|---|
![]() | ![]() |
| 더 oval함. | 심장이 더 둥글게 보임(round). |
| 디테일한 심장 관찰에 좋음. | 폐혈관 촬영에 좋음. |
| DV (Dorso-ventral) | VD (Ventro-dorsal) |
|---|---|
![]() | ![]() |
| 심장 관찰에 좋음. | 폐 관찰에 좋음. |
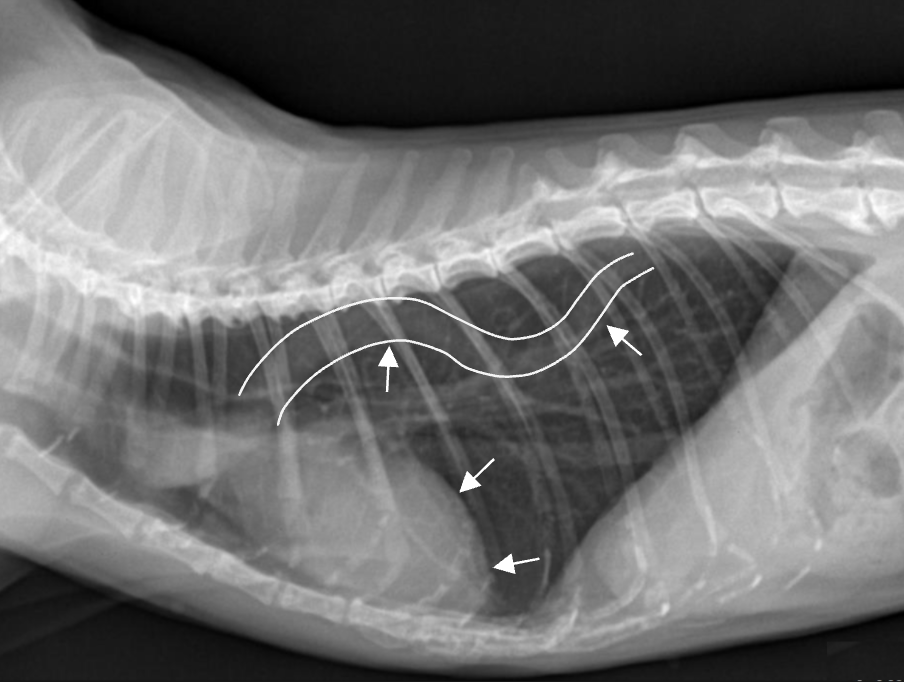
| 기흉 있을 때 좋음. (pleural air) | 흉수 있을 때 좋음. (pleural fluid) (바르게 놓인 삼각형 모양 - 흉수가 아래-옆으로 퍼짐) |
| 응급 환자에서 필요. (원래 자세 그대로) |
4. Normal variation
| Inspiration | Expiration |
|---|---|
![]() | ![]() |
| - 폐 부분이 더 opaque (뿌얘보임) | |
![]() | ![]() |
| - 횡격막이 더 위로 올라와 심장과 붙어 있음. |
| Normal variation |
|---|
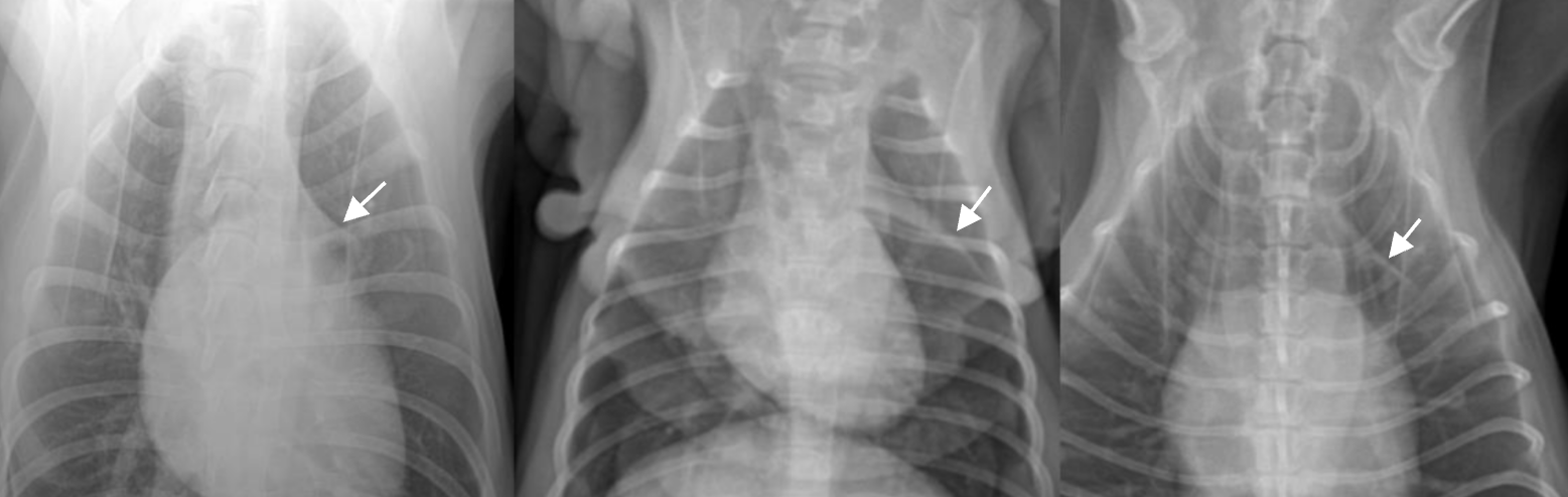
Thymus (sail sign)![]() - 어린 동물에서 thymus가 남아있는 모양을 “sail sign”이라고 함. (모양은 다양) |
| Skin fold - 기흉과 헷갈리게 생겼지만, 자세히 보면 바깥이랑 이어지고 있음. |
CCJ (costso-chondral junction) ![]() - 폐결절과 오인하지 않도록. - 닥스훈트에서는 꺾어서 관절하기 때문에 더 두드러짐. |
| Retrosternal fat accumulation : 심장 근처에 지방이 찰 수 있다. |
Pulmonary osseus metaplasia : 폐의 석회화 (노령성)![]() (폐전이에 비해 너무 작고, opacity가 bone에 더 가까움) |
==Knob sign== ![]() - 나이 많은 고양이에서 대동맥이 구불해지고, 심장이 누움. |























