1. Upper Airway

Brachycephalic syndrome

Brachycephalic syndrome
단두종
- English bulldog, Pug, Pekingese, French Bulldog, Bonston Terrier..
원인
- Skull의 base가 유전적으로 짧음
- 구조적으로 얼굴이 짧아 구조가 과밀됨

==Complex==
- stenotic nares (비공협착)
- soft palate edema & elongation (연구개노장)
- laryngeal edema, saccules, collapase, paralysis
- (dynamic) pharyngeal collapse
GI complication
- Hiatal hernia
- gastroesophageal reflux (역류성 식도염)
Pharyngeal collapse : 호기 때 좁아짐
- 증상은 흡기에서 더 심함 (흡기성 호흡곤란)

Hiatal hernia (위 허탈) : 위가 흉강으로 빠짐
Gastro-esophageal reflux (GERD)
다른 요인

2. Trachea

Tracheal diameter 재는 법법

  • Thoracic inlet과의 비율로 나타낸다.
- T1의 끝부분에서, 1번 sternum의 가장 오목한 부분 (Thoracic inlet)을 선으로 잇고 길이를 잰다.
- Trachea의 길이를 잰다.
- 비율은 보통 0.2 정도.

(단두종에서는 정상적으로 더 작다.)

Tracheal hypoplasia

Tracheal hypoplasia
기관 직경의 감소, 단두종에서 흔함
- Bulldog은 원래 작아서 9% 이하부터 이상 소견
- 기관지폐렴(Bronchopneumonia) 다발
- 다른 선천적 이상, 재발도 흔함
- 기관이 말려들어가면서 좁아지기 때문에 cilia 기능 X,
기능적으로도 많이 떨어짐

Tracheal Collapse (TC, 기관 허탈)

Tracheal collapse
원인 : 주로 연골연화증(chondromalacia)
증상 : Goose-honking sound (grade 3 이상에서)
치료 : 1) 체중 감량 - 2) 약물 - 3) stent 장착
Static : 주기 상관없이 계속 무너져 있음
Dynamic : 호기/흡기에 따라 달라짐
많이 무너지는 위치
Cervical : 흡기에는 경추 쪽이 많이 무너짐 (thoracic inlet)
Intrathoracic : 호기에는 흉강 압력이 증가하여 흉강 쪽이 무너짐
TC - pitfalls (오진 유의)
Tracheal mineralization (연골 경화)

- 노화, 호르몬 질환(Cushing 등)
Tracheal rupture

3. Lung

  • 우 4엽, 좌 2엽으로 총 6엽이다.
  • 외측상은 겹쳐 보여 선호되지 않고, DV나 VD - 특히 VD가 선호된다.
    • DV : 안정된 자세, 기흉 촬영
    • VD : 흉수 촬영
    • 호흡곤란, 기흉 의심될 때는 DV 촬영 (자세 뒤집으면 힘들어함)
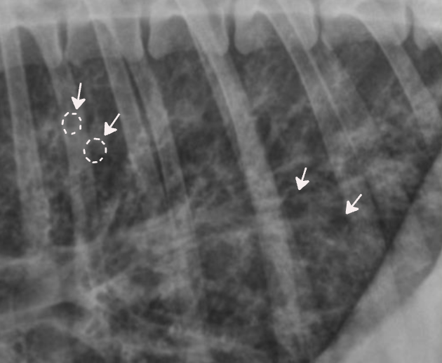
✳️ Bronchial pattern (기관지 패턴)
염증 세포 침윤으로 기관지벽 두꺼워짐
- Doughnut sign : end-on
- Tramline sing : side-on

원인
- Bronchitis (만성)
- Allergic (Feline asthma, 알러지성 폐렴)
- Immune-mediated (PIE)

주의
- 보인다고 해서 무조건 질병은 X
- 말단에서 다수 관찰되면 질병 가능성 ↑

관련 질병 1) CCB (Canine Chronic Bronchitis)
- 만성적인 dry cough
- 내강이 좁아져 호흡 곤란
관련 질병 2) Bronchiectasis
- 기관지가 확장되다가 탄력을 잃고 흐물해짐
- 만성적이며, 영구적. 치료 불가.
- 폐렴 발생하기 쉬움, 치명적.
관련 질병 3) Asthma

[Feline Asthma]
- Hyperlucent lung fields; “air-trapping” (까만 폐)
- Tenting diaphragm
- Bronchial patterns (기관지 두꺼워짐, 염증 ↑)
✳️ ==Alveolar pattern==
Fluid, blood, cell 등이 균질하게 차 있음
* interstitial pattern에 비해 진하고 균질함.
- Consolidation (폐경화; 공기 외 다른 게 참)
- Lobar sign (엽과 엽 사이 경계가 드러남)
- Air bronchogram; “Trees in the fog” (폐엽이 차서 기관지가 드러남)
- Cardiac effacement
✳️ Interstitial pattern
벽이 두꺼워지고 공기가 차면서 지저분하게 나타나는 모양.
+ Nodular (구조성 간질 패턴) : 폐결절

✳️ Vascular pattern
혈관이 커져서 폐가 지저분해 보이는 모양

1) Pulmonary hypertention - HW infection (심장사상충)

(다 못 채운 부분도 있음..)

4. Pleural Space

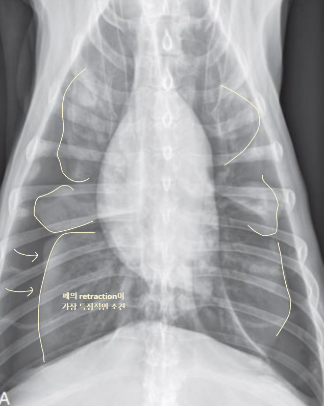
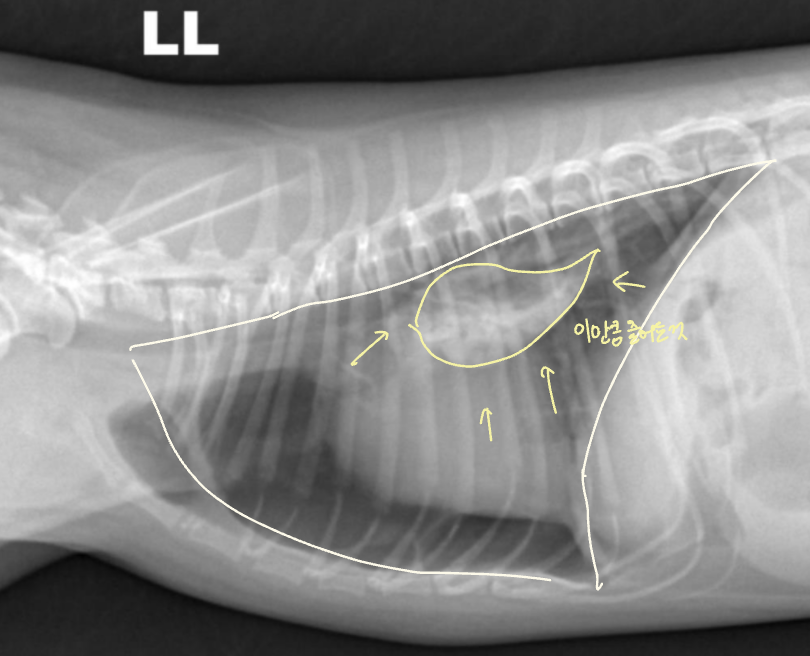
Pleural effusion (흉수)Pneumothorax (기흉)
흉강(pleural cavity)에 물이 찬 것
(폐에 차면 → 폐수종)
흉강에 공기가 찬 것
(폐에 차면 → 폐기종)
Radiographic signs
interlobar fissure 두껍게 관찰되고,
흉벽이 떨어져 나간 것처럼 보임
Radiographic signs
심장이 떠 있고, 폐가 쪼그라듦
- Interlobar fissure widening
- Lung retraction
- Pleural wall thickening
- Scallop sign
- Cardiac effacement
- Blunt angle
- Retraction of pleural surface
- Collapsed lung (→ opacity 증가)