Lt. & Rt. pleural cavity 사이의 공간.

  • Cranial mediastinum : 좌측, 우측 폐 사이 공간.

  • Caudal mediastinum : 후엽, 후엽의 경계 사이 공간.

  • 식도와 심장, 후대정맥까지 포함하는 구조.


  • Widening : 주로 넓어지는 게 문제. 인접한 척추뼈보다 2배 이상 넓으면 widening.

    • 비만이거나 단두종에서 widening 가능.

1. Mediastinal shift

  • Ipsilateral mediastinal shift : 병변과 같은 방향으로 변위됨. 질병에 의해 작아진 쪽으로 밀림. (기흉 등)
  • Contralateral mediastinal shift : 병변과 반대 방향으로 변위됨. 질병에 의해 커진 쪽이 작은 쪽을 밀어서 변위. (종양 등)
  • 보통 폐의 크기가 달라져서 (큰 쪽이 작은 쪽으로 종격동을 밀어서) 발생.
  • 흔한 원인으로는
    • lung mass → contralateral, 종양이 커지면서 반대로 민다
    • collapse, atelectasis → ipsilateral, 폐 용적이 감소하여 밀린다
    • consolidation → normal, 폐 용적 그대로라서
  • DDx
    • abnormal positioning
    • pulmonary atelectasis
    • pleural effusion
    • pneumothorax

2. Mediastinal mass

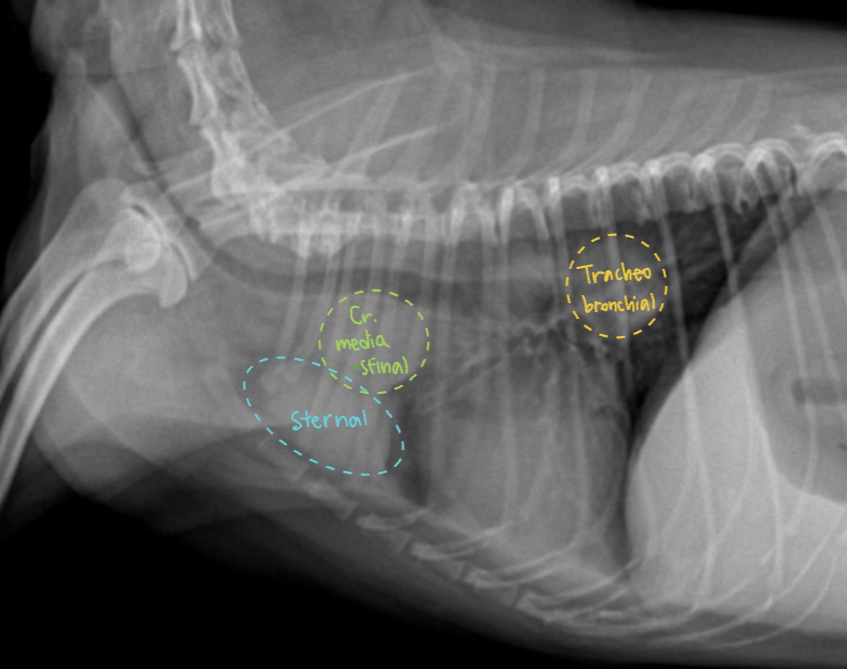
3. Mediastinal lymph nodes (도식화 필요)

(셋 다 비대되어 있음)

  • Cranial mediastinal LN (전종격 림프절)
  • Sternal LN (흉골 림프절) : 2번째 sternum 등쪽, 1개 또는 여러개
  • Tracheobronchial LN (기관기관지 림프절) : carina 근처 2-3개, 인접한 trachea 압박할 수 있음
  • Cr. mediastinal, Tracheobronchial : 흉강 문제 있을 때 비대
  • Sternal : 복강 문제 있을 때 비대

4. pneumomediastinum

  • mediastinum에 공기. bite wound 때문일 때가 많음.