6가지 각막의 병리적 변화 ⭐
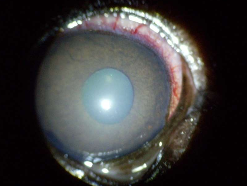
1) 각막 부종 (Edema)

- 각막이 뿌옇게 변함.
- 원래 크기보다 많게는 5배까지 두꺼워짐.
- 물이 실질 조직에 들어가면서, 실질 조직이 투명도를 유지하지 못해서.
- ‘ground glass eye’라는 표현도 썼었음.
- 각막의 endothelium이 적거나, 떨어져 나가거나,
- 각막내피세포변형(Endothelial degeneration)
2) 각막 신생 혈관 (Neovasculization;)
superficial![]() | - 궤양성/ 비궤양성 - 모든 각막염은 혈관화. - limbus에서 한 가닥이 빠르게 자람. - conjunctiva |
Deeper![]() | - ciliary vessel system에서 나옴 - 매우 느림, 키 작은 나무를 정렬한 모양 - 눈 안에 염증이 발생(포도막염; uveitis에서 발생하는 현상) |
3) Granulization
- CSK; Chronic superficial keratitis - 젊은 셰퍼드에서 자주 발생하는 면역매개성 질환.
- 해(자외선)와 연관 있는 형태.
- 면역억제제 사용하면 됨. - cyclosporine(옵티뮨?)

- helper T cell을 억제해서 세포성 면역을 억제하는 약물.
- 장기이식과도 관련 높음.
- 건성안 치료제로 엄청 씀.
- 눈물이 안 나오는 이유 중 T cell immunity 관련이 많음. T cell immunity를 억제하면서 염증이 줄어들며, 눈물이 나옴.
- (Feline, Equine에서만 발생하는) Proliferative keratoconjunctivitis
- Pannus와 다름
4) Fibrosis

- 각막이 녹농균이 감염되면 12-24시간 내에 다 녹아버림.
- 녹농균 치료 후 모습 (오른쪽)
5) Pigmentation

-
까맣게 변함
-
면역억제제 사용이 원칙
-
눈 주변 전체가 pigmentation, 각막에도 같이 일어남
-
안검의 pigmentation과 내안각의 hyperemia, 털의 trich..
-
내안각성형술,

-
trichisis
-
entropione
-
축축해서 세균 번식도 많음
-
이건 irreversible (* CSK로 인한 pigmentation은 면역억제제 쓰면 reversible)
6) Corneal lipidosis
- stromal dystropy
- 오래되면 lipid keratopathy
- 내분비 질환 있는 경우 hyperlipoproteinaemia, 예후는 좋지 않음


