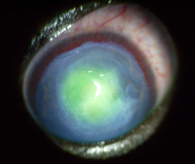
Deep corneal ulcer
- sedation (진정제)
- Chemosis (결막부종) :
- 항생제 감수성 테스트를 꼭 해라.
- Pseudomonas - tobramycin (공식)


- 맨 안쪽 검정 부분 : … descemetocele
치료
-
G+ : fusidic acid, chlorampenicol
-
G- : gentamicin tobramycine
-
first-line으로 선택하지 X
- ciprofloxacin : 각막에 침착..?
- enrofloxacin : 고양이에서 망막 위축 소견
-
atropine : BAB(blood-a..-barrier)
-
NSAIDs : 각막의 혈관생성을 저해, 주사나 먹는 제제가 원칙.
-
autologous serum : 최근에는 많이 쓰지 않음.
-
이틀 정도 약 써도 호전되지 않으면 외과적 치료
-
수술 : 결막을 각막에 이식하는 수술 (conjunctival graft; flap과는 다름) → 궤양 때문도 있지만, 각막 궤양에 혈관을 공급해주기 위해 시행하는 수술. (점막의 모세혈관을 이식)
case
- 치료 옵션 : (너무 광범위) pedicle X / bipedicle 또는 hood
vs.
medical 치료하기로 판단
descemetocele이나 ? 안 보임, keratomalasia만 있음, stroma 충분히 있음
아직 어려서 치료 효과 좋을 것으로 기대
peripheral 쪽의 투명도가 좋아지고 있음, 혈관도 자라고 있고 염색 범위도 감소함. 치료 효과 보이는 걸 보고 계속 medical로 치료
바늘은 이식편에서 들어가서 이식을 받는 쪽으로 들어가는 게 원칙 (중요) 8-0 또는 10-0 정도를 사용


