14주차 : Clinical Manifestations and Diagnostic Tests of Pleural Cavity and Mediastinal Disease
Clinical signs
-
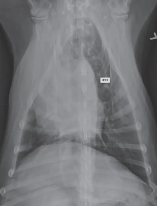
흉강에 공기가 차면서 폐가 쪼그라듦. → 심장이 위로 들림.
-
펼쳐진 폐가 쪼그라들면서 하얗게 보임.
-
mediastinum 쪽 thymus 종양
-
청진 시 폐음이나 심음이 먹먹하게 들림.
General Diagnostic Approach
- 액체가 찼을 때 흉강 천자(thoracocentesis)
- 옆으로 뉘고 ICS 사이 찌르면 보통 공기가 먼저 나옴. (공기가 위로 들리기 때문)
- 갈비뼈 바로 뒤쪽에는 동정맥과 신경이 지나가기 때문에, ICS 중 cranial part를 찌르는 게 좋음. 갈비뼈 바로 뒤쪽은 피하기.
Analysis of effusions
-
색, 투명도 확인
-
유핵세포수 측정 (TNCC) / 단백질량 측정 (TP)
-
생화학 수치 측정
- Creatonine : 오줌에 있어야 할 게 나온 거니, 방광이나 콩팥이 터졌을 때.
- Bilirubin : 담낭이 터졌을 때.
- TG : 높아지면 유미흉.
- Glucose, Lactate, Tchol
-
Cytology 세포모양관찰
-
단백질도 낮게, 유핵세포수도 낮게 → 흉수
FLUID CYTOLOGY (Pleural Effusions에 대한 진단적 접근)
| Transudates | |
|---|---|
| pure transudates | TP < 2.5, TNCC < 500 |
| 정수압 증가 | RCHF(우심부전), pericardial disease에 의해. |
| 삼투압 감소 | 저알부민혈증에 의함. - 간부전, 사구체신염, PLE(Protein-losing enteropathy) 환자 |
| Lymphatic obstruction에 의한 흉수 | 종양, 횡격막 탈장에 의해. |
| Exudates | |
|---|---|
| Nonseptic | FIP(Feline infectious peritonitis), 종양, 탈장, lung lobe torsion |
| 고양이 FIP | 혈관이 손상되어 단백질이 빠져나가나 액체, 끈적끈적. |
| 폐염전 | 물이 나올 수 있음. 무기폐 환자에서도 발생 가능. |
| Septic | Pyothorax / TNCC가 10배 이상 증가 |
| 세균, 퇴행성 호중구 많음. 썩은내 날 수 있음. |
| Chylous effusions | 장에서 나와 thoracic duct 로 들어갈 때 leakage에 의함. (lipid-rich) |
|---|---|
| - Modified transudate or nonseptic exudate - 지질 성분(triglycerides)이 많아 하얗고 탁함. - 혈액 때문에 핑크빛이 될 수도 있음. | |
| idiopathic | 대부분의 경우. (특히 고양이에서) |
| congenital | |
| secondary | 외상, 종양, 심장병, 폐염전, 횡격막 탈장, dirofilariasis |
| Radiography | |
|---|---|
![]() | Pleural thickning - Plueral fissure line - 흉막염(훙막벽이 두꺼워지거나 염증이 생길 때)도 생길 수 있음 (5%) - 보통은 흉수 때문(95%) |
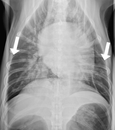
![]() | Pleural effusion - 물이 차서 심장이 안 보이고 폐가 들려 있고 끝이 뭉툭. - tracheal elevation - 흉수 뽑고 다시 찍어봐야 함. |
![]() | Pneumothorax - 폐가 쪼그라들면서 하얗게 보임 - 심장이 떠 있음 |
![]() | Pneumomediastium - 종격동에도 공기가 참 - 평소 안 보이던 식도, 대동맥 가지, 전대정맥 등도 보임 - 하얀 화살표는 흉관 tube를 장착해 놓은 것 - 임상적으로 큰 의의는 없음 - 종양 때문에 넓어질 때가 가장 많음. 비만일 수도 있음. |
![]() | * 종격동의 정상 크기 - 척추뼈의 2배 정도 공간 - 고양이는 더 홀쭉함 |
![]() | - 종격동이 2배 이상 커지고, 기관이 휘어졌는데.. - 종양 때문일 수도 있지만, - 이건 살이 너무 많이 쪄서.. |
![]() | Megaesophagus - Mediastinum에서 만날 수 있는 변화 - 생각보다 흔함 - 거대식도+호흡기 증상 ⇒ 오연성 폐렴 동반. |
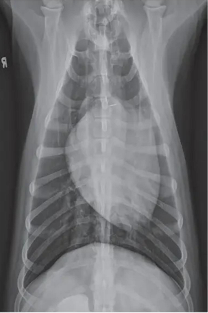
![]() | Mediastinum - abnormal shift - 여기서는 심장이 오른쪽으로 붙음 - 무기폐, 폐자름술, 폐종양일 때 발생 |
![]() | - 옆으로 몇 분 누워있었더니 무기폐 생긴 환자. - 무기폐가 생겨 심장이 왼쪽/오른쪽으로 틀어질 수 있음. - 섣불리 좌심비대로 평가하면 X |
림프절 3개 위치
흉강 안의 Lymph node 위치![]() ![]() | - Sternal LN. - Cranial mediastinal LN. - Tracheobronchial LN. |
|---|---|
![]() | sternal lymph node 폐결절이면 이렇게 벽에 딱 붙어있진 않을 것 |
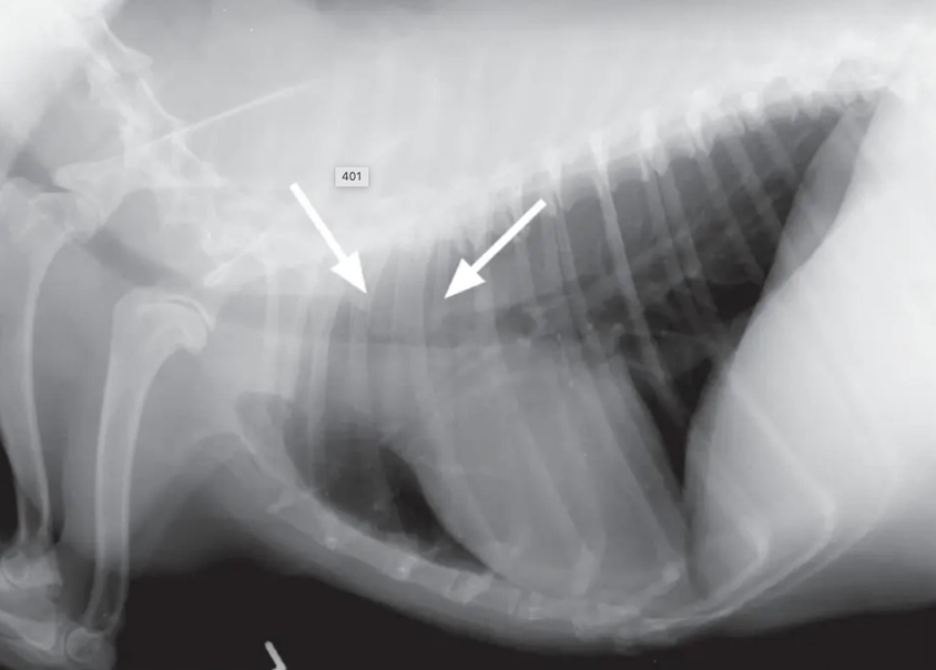
![]() | mast cell tumor가 화살표 쪽에 전이됨. (cranial mediastinal lymphadenopathy) |
![]() | - Cranial mediastinal(위쪽) - Sternal (아래쪽) |













