Definitions

  • Closed cardiac surgery : 심장 구조물이 닫힌 채 수술, 자주 수행.
  • Open cardiac surgery : 심장을 포함한 중요 구조물을 열어서 수술, 출혈량이 많음.
    • Cardiopulmonary bypass로 심장 대신 피를 전신 순환
  • Venous inflow occlusion : 4분 안에 끝날 수 있으면 혈관 occlusion으로도 가능.

Anesthesia

  • 개흉 수술 → 음압이 무너짐. ⇒ Controlled ventilation 필요.
  • Mechanical ventilator (맞춰주는 기계)
    • Tidal volume (10-15 ml/kg) : 공기의 양
    • Inspiratory pressure 15-20cm H2O : 공기의 압력
    • Respiratory rate 6-15 times/min : 공기를 넣어주는 빈도

Manual ventilator

불가피하게 기계 없이 해야 할 때 (기계 없이 전원 기다리고 있을 때 등) Reservoir bag을 이용해서 수동으로 공급

  • Tidal volume 10-15ml/kg → reservoir bag에 용량에 맞게 채운다.
  • Inspiratory pressure 15-20cm → 천천히 짜서 맞춤
  • Respiratory rate → 6-8초 맞춰서 짜준다

”개복”은 압이 안 맞아도 앞뒤로 조금 더 열 수도 있음. “개흉”은 갈비뼈에 맞춰서 열기 때문에, target organ과 늑간의 정확한 위치를 확정하고 열어야 한다. 위치를 외워야 함.

ThoracotomyLeft ICSRight ICS
Ductus arteriosis4
Pulmonic stenosis45
Cranial lung lobe4,54,5
Middle lung lobe왼쪽에 X5
Caudal lung lobe5,65,6
Cranial esophagus3,43-5
Caudal esophagus7-97-9
Caudal vena cava7-9
Thoracic duct (dog)8-10
Thoracic duct (cat)8-10
늑골 모양이 활처럼 약간 휘었기 때문에, 뒤쪽으로는 더 밀리지 않고 앞쪽으로는 더 벌어질 수 있다. 앞쪽으로 더 많이 벌어지므로 위치가 애매하거나, 둘 다 가능할 때는 더 caudal한 곳에서 들어가야 함.

Equipments

  • Satinsky vascular clamp (straight, angled, tangential)
Satinsky vascular clamp
(straight, angled, tangential)
혈관, 우심 등 비교적 폭넓은 범위
Bulldog clamp
혈관을 일시적으로 occlusion.
Vascular debakey tissue forceps

혈관, 심장 잡을 때 atraumatic하게 잘 잡힘.
Right angle forceps혈관, 신경 분리. PDA 등
90도로 꺾여 있어 보이지 않는 방향도 분리가 가능.
Finochietto retractor개창기. 흉강을 열 때 사용.

Thoracotomy

흉강 수술의 절개창? 보수적으로 작게 여는 경향이 있다. 처음부터 명확한 범위로 절개하는 것이 중요.

  1. Select incision site : underlying disease에 따라 늑간의 위치 결정.
  2. 겨드랑이 밑으로 손을 넣으면 1번째 늑골이 만져짐. 그 앞으로 손을 넣으면 1번째 ICS, 그 다음 caudal하게 만져지는 뼈는 2번째 늑골. 그렇게 5번째 늑간까지 간다. 의료용 마커로 표시.
  3. Incision 절개 : 피부층 - 피하층 - 몸통피부근(cutaneous trunci m.); 피하지방 안에도 상당한 두께의 근육이 있음.
    • 넓은등근(Latissimus dorsi m.)과 헷갈리기 쉬우니 주의 필요.
    • 피부는 좀 크게 열어줘야 함. vertebra 밑에서부터 sternum 직전까지 충분히 넓게.
  • Muscle layers
    • 예전에는 근육을 다 자르는 방법을 씀. / 그 위를 주행하는 신경도 신경써야 함.
    • 근육을 그냥 자르면 다시 잘 붙지 않음. 신경 손상도 너무 심하고, 넓은등근이 잘리며 보행에도 문제가 됨.
    • muscle fiber를 냅다 절개하는 것이 아니라, 뼈와 붙어있는 tendon을 분리해서 젖히는 방법을 요즘 많이 씀.
  • 넓은등근의 ventral border를 충분히 둔성분리하고 dorsal 쪽으로 쭉 견인.
  • Latissimus dorsi, pcectoral muscle은 자르지 않는다.
  1. 5번째 늑골에 termination (늘 그렇다고 맹신하면 X)
  • seraration 둔성분리.
  • intercoastal muscle
  • 아무 음압이 무너지는 것 준해서

intrcostal artery and vein

  • 피노치토 (짱짱하게 견인 가능) 최근 벨포어도 많이 씀.

Anatomy

(왼쪽 흉강)

  • 왼쪽으로 주행하는 신경은 phrenic nerve, vagus nerve
  • vagus nerve는 ~ 사이로 달림.
  • Ductus arteriosus 위로 vagus nerve가 쭉 지나감.
  • 오른쪽 흉강을 열면 식도 쪽이 phrenic nerve.

닫을 때는 음압을 어떻게 잘 형성할까에 대한 충분한 고민이 동반되어야 함.

Closure

  • 흉강 tube를 먼저 장착하고 incision을 닫아야 함.
  • drain tube는 절대 수술한 창상에서 닫으면 안 됨. 새로운 창에 설치해야 함.
  • Oblique하게 장착해야 함 → 공기가 새는 것을 막자.
  • 4번째 늑간으로 수술했다면, 2개 뒤의 ICS - 6번쨰 ICS로 tube를 뽑아낸다.
  • tube는 incision line에서 3-4번째 앞 늑간을 관통.
  • ~~ 넣어서 사선으로 장착됨. Thoracic inlet 근처 sternum으로 장착됨.
  • Polyvinyl chloride & Silicone type이 좋음. tube의 rigidity가 좋기 때문. 잘 꺾이는 재질이면 kinking될 수 있음→ 안 빨림. 음압이 형성된 줄 착각할 수 있음.
  • 고정을 위해 주머니 봉합, mattress 봉합. Horizontal mattress를 많이 씀. (horizontal mattress)
    • Four friction suture : 흉벽과 함께 고정. 한 쪽이 풀려도 남아 있다는 장점이 크다.

Preplace

  • 늑골과 늑골이 맞닿게 봉합해야 함.
  • soft tissue 쪽으로 들어가는 needle →
  • blunt point 를 쓰면
  • Reverse grab pattern
  • tie 전에 먼저 설치해둔다. preplaced suture 6번한 그림.
  • Have an assistant cross two sutures to appose ribs.
  • 봉합은 tension을 해 보면, 그 다음 knot 전에 스르르 풀리기도 함. preplaced도 surgeon knot - double throw를 하고 simple throw로 tie를 하려고 하는데, 스르르 풀려버림 (늑골이 벌어지는 힘이 강하기 때문) -Assist가 2,3번째 preplaced를 서로 반대 방향으로 땡기고 있어야 함.

Suture

  • 흡수성 ; tension이 풀리는 데 60일 정도 걸림. 짧게 풀리는 편이지만, 60일이면 닫히는 데 충분함.
    • 비흡수성은 안 녹고 계속 있기 때문에 자극이 되고, 물이 참.
    • Maxon, Polydioxanone(PDS) 많이 사용.

Negative pressure

음압을 만들어주는 방법.

  • Manual한 방법 : 수술 직후 manually하게 하면 간편.
  • Three-way bottle (cock) system : tube 끝에 장착
  • Thoracic drainage system : 지속적으로 오래 유지해야 할 경우. (underlying disease 때문에 문제가 있는 경우)

Three-way

  • 버튼을 돌려 닫을 구멍을 조절 가능
  • ⓒ를 닫고 흉강에서 주사기로 뽑아내거나
  • ⓐ를 닫고 주사기에 모은 것을 ⓒ로 배출하거나 하는 식으로 활용 가능.

  • suction chamber
  • collection chamber : 흉강과 바로 연결
  • 둘 사이에는 water tube → collection chamber의 것들이 다시 흉강으로 들어가지 않도록

PDA (Patent Ductus Arteriosus)

  • Main pulmonary arterydescending aorta 사이의 ductus arteriosus가 열린 채로 남아 있음.
    • Descending aorta(뒤쪽 대동맥) 와 연결된 것을 기억.

Type

  • Left to right shunt

  • Right to left shunt (Reverse PDA)

    • 정상적인 PDA를 치료하지 않았을 때,
    • 폐동맥으로 모임 → 폐로 흘러들어감. → RV로 계속 감.
    • 폐의 hypertension이 심해져 사망할 수 있음.
    • 수술은 할 수 없고, 평생 약물치료를 해야 함.
  • volume overload ⇒ Left ventricle dilaton ⇒ Mitral valve annulus dilation ⇒ Regurgitation & ..

    • 계속 역류해서 다시 들어옴 → 추가적인 overload ㅅ미해짐

Clinical presentations

  • L-R shunt
    • 폐에 물이 참 → 기침, 호흡이 짧아짐
  • R-L shunt
    • 청색증
    • Cardial thrill도 발생 가능

Radiography

  • 처음에 먼저 LA, LV 확장(enlargement)부터 발생
  • R-L shunt 근처까지 병이 진행되면 dAo & mPA 확장
    • Aorta에 비해 상대적으로 벽이 덜 두꺼운 mPA 가 꽈리 모양으로 enlarged됨

Echocardiography

  • 혈액 흐름, 와류 등 확인해야 함.
  • Turbulent doppler flow parttern
  • 폐고혈압 측정

Lab work

  • 산소 포화도가 적은 혈액이 전신을 순환
  • 적혈구를 많이 만들게 됨 (polycythemia)
  • PDA에서 polycythemia → 위험 신호

Medical management

수술을 잘 받을 수 있도록 안정화

  • 이뇨제 :
  • ACE inhibitor → 고혈압을 해소 ⇒

Surgical Management (중재 시술)

  • Intravascular coils, vascular plugs, duct occluders
    • 큰 개들에서 선호됨.
    • 숙련자는 30-40분, 덜 침습적이고 안전한 게 맞지만.. 그 단계까지 숙련이 아주 많이 필요.

Type of shunts

  • Type Ⅰ : granually하게 감소
  • Type ⅡA : 처음에는 평행하다가, mPA 주변에서 확 감소함.
  • Type ⅡB : 처음부터 급격하게 감소함.
  • Type Ⅲ : 처음부터 끝까지 거의 평행하게 감.
  • 외과 시술은 이와 무관하게 다 할 수 있다.

Techniques

  • Left 4th ICS를 연다.
  • 아래쪽 phrenic n., 위로 vagus n. / vagus n. 바로 밑으로 PDA가 지나감.
  • 둔성 분리
    • blunt dissection : 불리는 쪽ㅇ롱
    • caudal에서 right blend난
  • Aorta를 먼저 tie? mPA를 먼저 tie? ⇒ Aorta를 먼저 ligation
  • Aorta → mPA로 혈액이 가는데, mPA를 먼저 ligation하면 shunt로 압력이 계속 가다가 터질 수 있음. (shunt는 셀로판지보다 얇음)

Postoperative care & Assessment

  • Bupivacaine
  • 정상적으로 회복되기까지는 시간이 걸림. 증상이 다 사라질 때까지 약물을 계속 복용해야 함.
  • 가장 심각한 complication은 rupture
  • Residual shunting - 여전히 흐름이 남아있을 수 있음.
    • coil로 중재 시술을 했을 때 자주 발생 / ligation 꽉 못 했을 때 / Jackson surgical approach
    • Jackson : shunt 아래로 둔성분리하면 터질 것 같으니 주위 다른 조직 밑으로 둔성분리, 주위 다른 조직까지 끌어와서 ligation이 제대로 안될 수 있음..

Prognosis

  • L - R shunt의 경우 수술하면 예후 좋음.
  • 수술 하지 않으면 R - L shunt로 바뀌고 예후 나빠짐
  • 치료되지 않은 PDA는 70%가 1살 이하에 사망

Pericardial Effusion

  • 심낭 사이에 fluid가 비정상적으로 축적되는 것.
  • 하나로 설명하자면.. Cardial tamponade 때문에 위험하다.
    • 심낭과 심낭 사이에 비정상적으로 많이 모이면서 ventricle이 눌림 → 다시 diastolic해야 하는데, 다시 벌어지지 못함.
    • 혈액을 받아들일 수 없게 됨.
  • 심장의 제한적인 섬유화 → pericardial constriction → 심장이 잘 늘어나지 못하게 되면서, 적은 양의 fluid로도 cardial tamponade가 발생할 수 있음.
  • Rate (얼마나 빨리 축적) / Volume (얼마나 많이 축적) / Accumulation & Distensibility (심장의 수용력)
  • slow → 시간을 주면서 pericardium이 늘어날 수 있는
  • rapidly → cardiac tamponade 발생률이 높아짐.

Transudate

  • 크게 2가지의 원인이 있음.
    • Oncotic pressure가 낮을 때.
    • Hydrostatic pressure가 낮아짐.
    • Peritoneum pericardial diatonic h 둘이 서로 개통 → 복강 장기가 심장 안으로 들어감. 주로 간이 들어가는데, 간이 후대정맥을 눌러 congestive

Exudate

  • 감염이나 염증일 때 → 흔하지 않음.
  • 식도 중간을 뚫고 심장을 계속 자극할 때
  • 흔하지는 않음.

Sanguineous

  • 1순위로 종야잉ㄹ 때는운
  • Right artium
  • Aortic body tuom
  • ..

Cardiac Tamponadie

Clinnical Presentations

  • 병력 : pericarditis, Right-sided CHF, neoplasia 있으면..
  • 일을 더 해야 한다고 생각해서 더 일함 → Rapid arterial pulse, 하지만 잘 못함(weak)
  • Congestive 한 상황 → Distended jugular veins. 청진했을 때 심장 뛰는 소리도 잘 안 들림 (muffled heart sounds)

확진

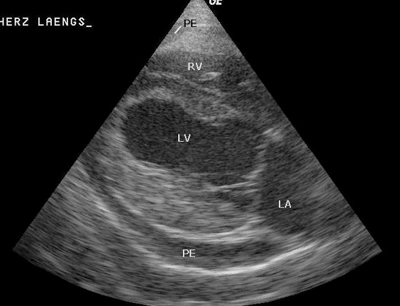
심장과 심낭 사이에 Echo-free space
(딱 봐도 쪼그라들어 보임)
echo가 dense한 pericardium

DDx

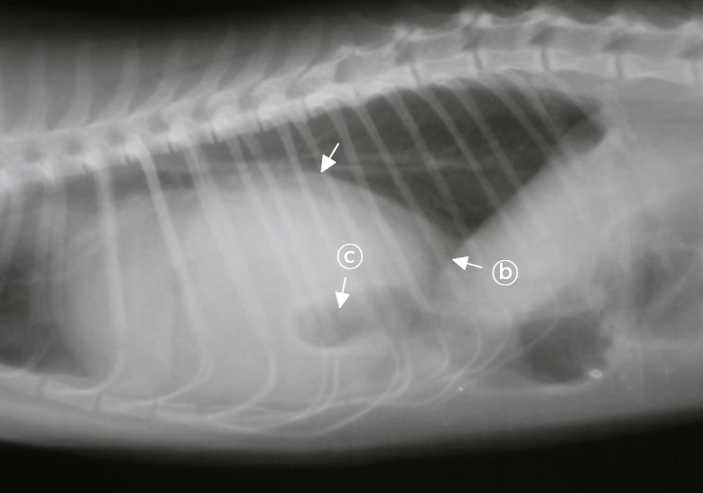
PPDH
: 복강 안 장기가 심낭 안으로 들어가 ⓐ 심장이 매우 커 보임.
- 선천성 질병이라 어릴 때 발생. (PE는 어릴 때 잘 X)
- ⓑ PPDH는 diaphragm silluette이 명확하지 않음.
- ⓒ 장에 차 있는 공기 음영이 보임
DCM
- .. dialation이 되어 있어야 함.

Pericardiocentesis

  • cardiac tamponade를 없애주기 위해 심낭천자

  • 왼 오 둘 다 접근 가능하지만, 오른쪽 4~5th ICS를 권한다.

    • dorsal은 위험 (aorta, 식도 등 지나감)
    • middle도 heart-base 부분
    • ventral로 들어간다 - sternum과 CCJ 사이
  • 전신 마취를 하지 않기 때문에 local 마취

  • pericardium과 심장은 점점 가까워지게 되어 잇음. 심낭이 점점 가까워지니까.. 조금씩 더 깊이 넣다 보면 myocardium(심근)을 건드릴 수 있음. → 전기 자극으로 인식, ectopic beating 발생, QRS complex 발생

  • 효과는 즉각적이고 매우 좋음

    • 심장이 엄청 빨리 뛰었었는데, 천천히 원래 속도로 돌아옴
    • congestive한 상황도 해결

Subtotal (subphrenic) Pericardiectomy

  • 많이 ..
  • 양쪽 끝에서 시작, T자 모양으로 내려감
  • 살짝 땡기고, 살짝 자르고.. 그렇게 4각형으로 자름. 끄집어서
  • ? ligament로 고정되어있음.
  • 출혈량 확인
  • 심낭 안에 있던 것들이 흉수?로 가서 흡수됨.

Postoperative Care

  • 흉강 튜브 (Thoracostomy tube placement)

Prognosis

  • hemangiosarcoma : 경험적으로 보통 3개월 정도
  • 원인을 알 수 없을 때 , 치료

심장사상충

  • embolism 최대한 없애고 수술
  • 심상사상충 성충 : 차가운 metal 자꾸 몸 감음