Definition

- Primary : 뼈 내에 위치한 세포에서 발생.
- Metastatic : 다른 원발성 위치에서 전이됨.
- appendicular skeleton(팔다리 골격; 긴뼈 등), axial skeleton(몸통 골격; 두개골, 척추, 갈비뼈, 골반) 에서 발생.
Pathophysiology
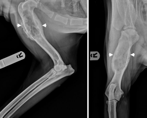
- 개에서는 일반적으로 팔다리 골격에서 잘 발생함.
- distal radial metaphysis
- proximal humerus
- proximal/distal femur & tibia.
- Osteosarcoma (골육종) : 개에서 가장 흔한 malignant bone tumor.
- 긴뼈의 metaphysis 부위, 대형견에서 잘 발생함.
- 뼈의 융해와 생성을 유발, locally aggresive, 흔히 전이됨.
- 폐 전이와 관련한 합병증으로 인해 90%는 진단 1년 이내 사망.
Diagnosis
- 대형견에서 발생 확률 높음. 소형견에서는 몸통 골격에 더 잘 발생.
- lameness, localized limb swelling, pain, reluctance to walk
- 신체 검사: 사지가 enlarged & firm(단단).
- 급성 단계에서 전신 징후(fever, anorexia, weight loss 등)는 흔하지 않음.
- axial skeleton의 종양은 firm swelling.
- 폐 전이와 관련된 호흡기 이상(respiratory abnormalities)는 후기 때까지 거의 나타나지 않음.
MSTS (Musculoskeletal Tumor Society) staging system
- G (grade) of the cancer, 성장 및 확장 가능성
- G1 (낮은 등급) : 정상 세포와 비슷해 보임, 빠른 확산 가능성 낮음
- G2 (높은 등급) : 보다 더 비정상적
- T (extent of the primary tumor)
- T1 (구획내; intracompartmental) : 뼈 내에 남아있음
- T2 (구획외; extracompartmental) : 뼈 너머 다른 구조로 성장함
- M (metastasized) : 인근 림프절, 다른 장기로 전이됨
- M0 : 전이되지 않음
- M1 : 전이됨
AJCC (American Joint Committee on Cancer) TNM system
- T : 원발성 종양(tumor)
- N : 암이 인근(nearby) 림프절로 전이되었는지
- M : 암이 머리 떨어진 부위로 전이되었는지 (metastasized)
![]()
의학적 관리
- 대부분 전이성 질환으로 사망. 화학 요법 개발 중에 있음.
- 절단+화학 요법 → 수명 연장 가능.
- 종양 절제가 불가능한 경우 완화 방사선 치료.
- 수술 기법 : Bone biopsy (뼈 생검), Amputation (절단)

