Definition

Synovial joint의 구조
- synovial lining(윤활막), tendon sheaths(힘줄집), bursae(윤활낭)에 발생한 종양.
- distal joints보다 carpus, tarsus 위쪽 관절에서 더 흔함.
- synovioblastic tissue에서 발생하는 종양이 중요
- synovial sarcomas (=malignant synovioma, synovial cell sarcoma)라고도 함. 혹은
- histiocytic sarcoma : macrophage/monocyte cell line에서 발생
- synovial myxoma : myxomatous tissue(점액성)의 fibroblast에서 발생. - 그래서 질병의 양상도 비슷함(점액성).
진단
- large, middle-aged dogs에서 나타남. (품종 소인은 X)
- 주로 lame, 관절 근처의 종괴(mass) 관찰
- 확진을 위해서는 조직검사가 필요함.
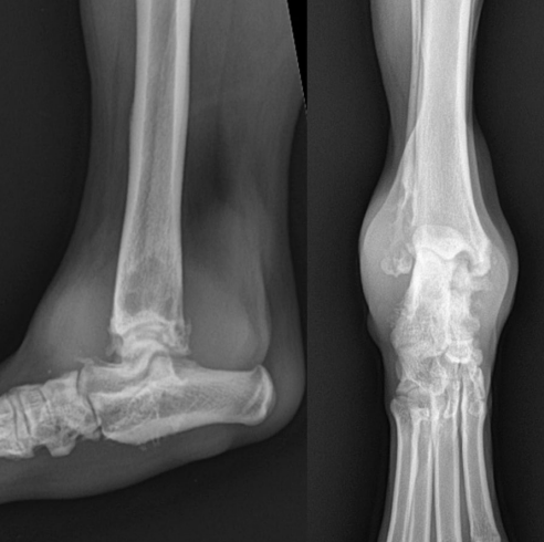
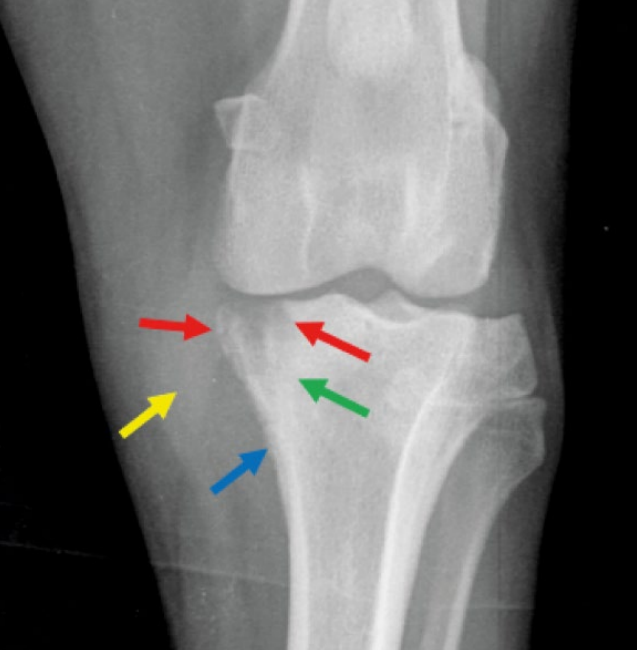
- 관절 양측에서 뼈의 변화가 나타남 - subchondral bone & cortex의 lysis, new bone production
- fluoroscopy도 이용할 수 있지만, 정확도 떨어짐.
- FNA를 통해 세포검사 진행할 수 있으나, 보통 확진은 biopsy를 통해 직접 얻어진 조직 샘플로 이루어짐.
| Diagnosis | |
|---|---|
![]() | |
![]() | - lining의 변화 - 오른쪽은 뼈가 다 녹아 절단할 수밖에.. |
![]() | - 뚜렷하게 나타나기 시작한 부위. 흐릿하게 퍼져 있는 부분. |
![]() | - density도 떨어져 있음 |
![]() | - 폐전이가 나타남. - bone lysis를 일으키면서 주변으로 전이됨. |
감별 진단
-
synovial cysts(관절낭) 과 구분되어야 함.
-
synovial cell sarcomas → cruciate disease(십자인대 질환), fungal&infectious joint diseas, 기타 종양들과 구별되어야 함.
- joint diseases - septic arthritis(화농성 관절염), erosive arthritis(침식성 관절염), villonodular synovitis(융모결절성 활막염)
-
확진하려면 biopsy 필요; 절단 외의 치료가 불가능한 상태라면, 절개 생검이 아닌 절제 생검(excisional biopsy, limb amputation)을 진행할 수 있음.
치료
- Amputation(절단)이 권장됨. 국소 절제 → 재발률 높음(high recurrence rate).
- chemotherapy(화학 요법)도 같이 진행하는 것이 좋음.
예후
- 골종양에 비해서는 천천히 growth
- 절단 후 전이가 흔하다는 연구결과 있음
- synovial cell sarcoma → 32개월 생존
- histiocytic sarcoma → 5개월 생존, 전이율 가장 높음.
- synovial myxoma → 30개월 생존, 전이율 가장 낮음.





