Definition
- mandibular periostitis, lion’s jaw 라고도 함.
- 미성숙한 개에서 발생하는 증식성 뼈 질환. Occipital bones(뒤통수뼈), tympanici bullae(고실), mandibular rami(아래턱뼈)에 침범함.
원인
- 밝혀지지 않음.
- 뼈가 깨지고 흡수되며 새로운 뼈로 대체됨.
- 기존의 lamellar bone은 osteoclasis(파골세포)에 흡수, 뼈가 파괴되면서 염증 세포의 침투도 동반.
- 섬유화 진행 (fibrous stroma)로 대체 → 정상적인 뼈의 기능 상실. 5-7개월차에 발생.
- intermittent fever, 식이 불편, 입 열 때 불편감.
- 여러 차례 재발하기 쉬우나, 뼈가 성숙하고 성장판(physes)이 닫히면서 뼈 증식도 점차 감소함.
- West highland 종에서 가장 많이 발생.
- Scottish & Cairn terriors에서도 보고됨. 다른 종에서는 별로.
- 성별에 따른 차이는 없음.
증상 및 진단
- 3-8개월에 많이 발생. (평균적으로 5-6개월)
- 신체 검사상: mandible & tympanic bullae가 양측으로 비대됨 (bilaterally enlarged).
- 입을 벌릴 때 통증이 있음.
- 심한 케이스에서는 이러한 구조들이 융합되어 턱을 거의 벌릴 수가 없음.

- 먹기 싫어하는 증상, 입을 제대로 닫고 벌리기 어려워 침을 흘리고 음식을 씹는 걸 어려워함.
- 식욕 부진, 몸무게 감소, 탈수, 과한 침흘림
- Temporal muscle atrophy : 광대 근육을 움직이지 못하니 위축 발생
- 염증 동반 → 단기간의(episodic) lethargy, pyrexia, lymphadenopathy (무기력증/발열/림프절 종대)
- 증상은 일반적으로 완화되며(abate), 성체가 되면서 사그라든다.
영상 진단
| Diagnosis | |
|---|---|
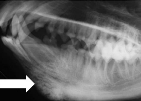
![]() ![]() | - caudal mandibles의 irrecular bone density가 증가. - tympanic bullae의 밀도도 증가. - 1/3의 환자는 mandible에 국한된 병변을 보이지만, 일부 경우 skull의 바닥에 병변, 또는 두개골 자체가 비대(thickened calvarium). - 개가 성숙해 가면서, 새로운 뼈의 가장자리가 매끄러워지고, 비정상 부위가 줄어듦. |
![]() | - mandible 쪽 경계가 무너져 있음. - skull 뒤쪽이 확연히 두꺼워져 있음. |
![]() | - tympanic bullae가 안 보일 정도로 두꺼워져 있음. |
| Histology | |
|---|---|
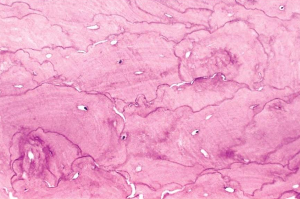
![]() | - Lamellar bone의 파골 작용 → 흡수 - 뼈막에 새로 생긴 뼈 조직에 염증세포가 침윤됨. - 사람에서의 osteitis deformans(Paget’s disease) 유사. |
![]() | - Osteon의 경계를 나타내는 cemet line의 Mosaic pattern - 원래 원형인데, 구불구불하게 무너짐. |
치료 및 관리
- 성견이 되면 거의 사라지기 때문에, 통증을 줄이는 치료 진행
- 심각한 케이스는 거의 섭취를 어려워하기 때문에, fluid nourishment/feeding tube 로 영양 공급.
- 수술적 치료는 X
- rostral mandibulectomy → lap(혓바닥) gruel (mandible 잘라내는 것도 방법.. 혓바닥이라도 자연스럽게 쓸 수 있게)
예후
- Case by case. mandible이 얼마나 자유로운지에 따라 다름.
- 입을 아예 벌릴 수 없는 정도면 → 예후가 안 좋음.
- 5-6개월에 가장 활발, 7-8개월쯤 slow down, 11-13개월쯤 점차 회복.
- 완벽하게 정상으로 돌아가기는 어렵고, 병변 부위가 감소하고 불규칙성이 약해짐.





