๐Ÿ”ท ํ‰๊ฐ• ์ฒญ์ง„ (Thoracic ascultation)

1๋ฒˆ ์œ„์น˜ ์ฒญ์ง„ (Trachea near the larynx)

  • ๋น„๊ฐ•๊ณผ ์ธ๋‘์˜ snoring(์ฝ”๊ณจ์ด ๊ฐ™์€ ๊ฑฐ์นœ ์†Œ๋ฆฌ), snorting(ํ‚ํ‚๊ฑฐ๋ฆฌ๋Š” ์†Œ๋ฆฌ) ๋“ค์„ ์ˆ˜ ์žˆ์Œ.
    Elongated soft palate, mass lesions, excessive mucus or exudate ์žˆ๋Š” ๊ฒฝ์šฐ
  • Obstructive laryngeal conditions,
  • Collapse of extrathoracic trachea (ํ‰๋ถ€ ๋ฐ”๊นฅ์ชฝ ๊ฒฝ๋ถ€ ๊ธฐ๊ด€) ๋„ ํŒŒ์•… ๊ฐ€๋Šฅ
  • ์ƒ๋ถ€ ํ˜ธํก๊ธฐ ์งˆ๋ณ‘์ด ์žˆ์œผ๋ฉด, ํก๊ธฐ ์‹œ ์œ„์ชฝ์— ์Œ์••์ด ๊ฑธ๋ ค ๋น„์ •์ƒ์ ์ธ ํฐ ์†Œ๋ฆฌ๊ฐ€ ๋‚  ์ˆ˜ ์žˆ์Œ.

2-4๋ฒˆ ์œ„์น˜ ์ฒญ์ง„ (Lung)

ํ์˜ ์ •์ƒ ์œ„์น˜

  • ์•ž์ชฝ์œผ๋กœ๋Š” thoracic inlet, ๋’ค์ชฝ์œผ๋กœ๋Š” 7th rib, ๋ฐฐ์ชฝ์œผ๋กœ๋Š” sternum, ๋“ฑ์ชฝ์œผ๋กœ๋Š” 11th ICS๊นŒ์ง€ ํ™•์žฅ๋˜์–ด ์žˆ์Œ.

์ •์ƒ ํ์Œ

  • โ€bronchialโ€ sounds - ๊ธฐ๊ด€์ง€์—์„œ ๋ถ€๋“œ๋Ÿฌ์šด(fine) ์†Œ๋ฆฌ
  • โ€vesicularโ€ sounds - ์ž‘์€ ๊ธฐ๊ด€์ง€์—์„œ ๊ณต๊ธฐ๊ฐ€ ํ๋ฅด๋ฉฐ ๋‚˜๋Š” ์†Œ๋ฆฌ, ๋” ๋ถ€๋“œ๋Ÿฌ์›€
  • โ€tubularโ€ sounds - ์‹ฌ์žฅ ๊ทผ์ฒ˜๋กœ ๊ฐˆ์ˆ˜๋ก louder, harsher (ํฐ ๊ธฐ๊ด€์ง€๊ฐ€ ๋งŽ์Œ)
  • ํ์Œ ๊ฐ์†Œ :ํ‰์ˆ˜(pleural effusion), ๊ธฐํ‰(pneumothorax), ํšก๊ฒฉ๋ง‰ ํƒˆ์žฅ(diaphragmatic hernia), ํ์ข…์–‘(mass) ์žˆ์„ ๋•Œ ์ขŒ์šฐ์˜ ํ์Œ์ด ๋‹ฌ๋ผ์งˆ ์ˆ˜ ์žˆ์Œ.
  • ํ์Œ ์ฆ๊ฐ€ : consolidated lung lobes, mass lesions
๋น„์ •์ƒ ํ์Œ
  • Crackles : ์ข…์ด๋ฅผ ๊ตฌ๊ฒผ๋‹ค๊ฐ€ ํŽด๋Š” ์†Œ๋ฆฌ
    • ์ •์ƒ ํ์Œ๊ณผ ๊ฐ™์ด ๋“ค๋ฆด ์ˆ˜ ์žˆ์Œ
    • ํ์ˆ˜์ข…์—์„œ ์ž˜ ๋“ค๋ฆผ (ํ์ˆ˜์ข… ํ™˜์ž๋“ค์€ ๊ฒ€๊ฒŒ ์ฑ„์›Œ์ ธ ์žˆ์–ด์•ผ ํ•  ๊ณต๊ฐ„์ด ํ•˜์–—๊ฒŒ ์ฑ„์›Œ์ ธ ์žˆ์Œ; alveolar pattern)
    • x-ray๋กœ ํ์ˆ˜์ข…์ด ๋ช…ํ™•ํ•˜๊ฒŒ ์ง„๋‹จ๋˜์ง€ ์•Š์„ ๋•Œ
  • Wheezing : ์ข์€ ๋นจ๋Œ€์— ๊ณต๊ธฐ ์ง€๋‚˜๊ฐ€๋Š” ์†Œ๋ฆฌ
    • ๊ธฐ๊ด€์ง€๊ฐ€ ๋‘๊บผ์›Œ์กŒ์„ ๋•Œ, ์ข์€ ๊ธฐ๋„๋กœ ์ธํ•ด ๋ฐœ์ƒ (๊ธฐ๊ด€์ง€ํ˜‘์ฐฉ์ฆ)
    • ์ฒœ์‹ ํ™˜์ž์—์„œ ๋งŽ์ด ๋ฐœ์ƒ (์ฒœ์‹=์•Œ๋Ÿฌ์ง€ ๋ฐ˜์‘์œผ๋กœ ์ธํ•ด ๊ธฐ๊ด€์ง€ ๋‘๊บผ์›Œ์ง)
    • ์ฒœ์‹ - ๊ฒ€์ • ๊ณต๊ฐ„ ์‚ฌ์ด์— ํ•˜์–€์ƒ‰ ๋™๊ทธ๋ผ๋ฏธ๋“ค์ด ๋ช…ํ™•ํžˆ๋ณด์ž„, ๋‘๊บผ์›Œ์ง„ ๋ฒฝ์ด ๋‚˜ํƒ€๋‚˜๋Š” ๊ฒƒ
    • ๊ณ ์–‘์ด ์ฒœ์‹

Radiography

  • ๋ฐฉ์‚ฌ์„ ์€ ์ตœ๋Œ€ ํก๊ธฐ ๊ธฐ์ค€ (maximal inspiration)
  • ํ˜ธํก์ด ๋„ˆ๋ฌด ์•ˆ ์ข‹์œผ๋ฉด ๊ทธ๋ƒฅ DV๋กœ ์—Ž๋“œ๋ ค ์ฐ๊ธฐ๋„ ํ•œ๋‹ค
  • ํกํ˜ธ๊ธฐ์— ๋”ฐ๋ผ ์ฐจ์ด๊ฐ€ ์‹ฌํ•˜๋‹ค? ๋น„์ •์ƒ, tracheal collapse๋กœ ์ง„๋‹จ

๐Ÿ”ท Thoracic radiography ํ•ด์„ํ•˜๊ธฐ

๊ฒ€์€์ƒ‰ ๋ฐฐ๊ฒฝ : ํํฌ (๊ณต๊ธฐ๋ฅผ ๋จธ๊ธˆ์–ด์„œ)

๊ฑฐ๋ฏธ์ค„์ฒ˜๋Ÿผ ์ด์–ด์ง„ ๊ฒƒ : interstitium (๊ฐ„์งˆ)

V : ํ˜ˆ๊ด€

๊ฒ€์€ ์ค„ : ๊ธฐ๊ด€์ง€

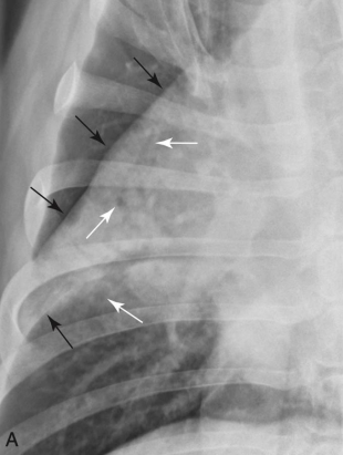
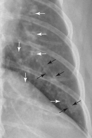
Bronchial signs

Tram line

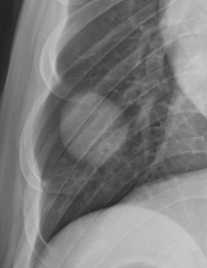
Doughnuts

๊ธฐ๊ด€์ง€๋ฒฝ ๋‘๊บผ์›Œ์งˆ ๋•Œ ๋ณด์ด๋Š” sign

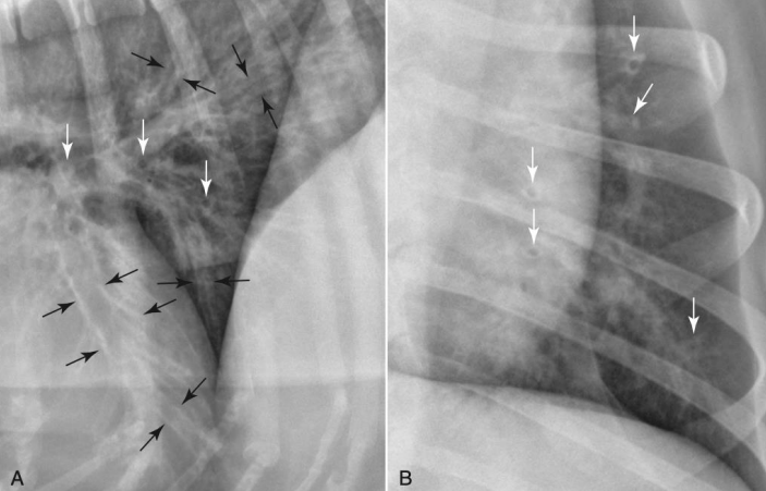
ํ ๋ง๋‹จ์œผ๋กœ ๊ฐˆ์ˆ˜๋ก ๊นจ๋—ํ•œ ๊ฒŒ ์ •์ƒ

๋ง๋‹จ์—๋„ tram line ๋ณด์ด๋ฉด ๋น„์ •์ƒ

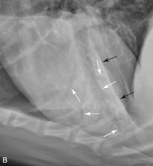
VS.

(์™ผ์ชฝ์ด ์ •์ƒ, ๋ง๋‹จ์œผ๋กœ ๊ฐˆ์ˆ˜๋ก ๊นจ๋—. ๋ง๋‹จ์—๋„ tram line ๋ณด์ด๋Š” ์˜ค๋ฅธ์ชฝ์€ ๋น„์ •์ƒ.)

ํฐ์ƒ‰: doughnuts, ๊ฒ€์€์ƒ‰: trams)

dpseh voxjs?

ํ˜ˆ๊ด€๊ณผ ์ด์–ด์ ธ ํฐ์ƒ‰ ์ ์œผ๋กœ ๋ณด์ด๋Š” ํŒจํ„ด

ํ˜ˆ๊ด€์ด ์—†๋Š”๋ฐ ๋œฌ๊ธˆ์—†์ด ์žˆ๋Š” ํฐ ์ ? ์ „์ด๋œ ์ข…์–‘

๋ง๋‹จ์—๋Š” ํฐ ํ˜ˆ๊ด€์ด ์—†์œผ๋‹ˆ๊นŒ ์—”๋ˆ ํŒจํ„ด์ด ์ƒ๊ธธ ์ˆ˜ ์—†๋‹ค

๊ธฐ๊ด€์ง€๊ฐ€ ์—„์ฒญ ๋„“์„ ๋•Œ bronchiectasis

Lobar sign

alverolar pattern์ด ํ•œ ์—ฝ์—๋งŒ ์ง„ํ•˜๊ณ  ๋šœ๋ ทํ•˜๊ฒŒ ๋‚˜ํƒ€๋‚ฌ์„ ๋•Œ.

ํฐ์ƒ‰ ๋ถ€๋ถ„์— alveolar pattern ๋šœ๋ ท

Alveolar pattern

  • ์–ธ์ œ?
    • ๋ฌด๊ธฐํ, ํ๋ ด,. .
  • ์ƒ๋ช…๊ณผ ๊ด€๋ จ ์žˆ๋Š” ์งˆ๋ณ‘๊ณผ ๋ฐ€์ ‘ํ•˜์—ฌ, ๊ฐ€์žฅ ์ค‘์š”
  • perihilar region์—์„œ pattern
  • ๊ณ ์–‘์ด : ์ „๋ฐ˜์ ์œผ๋กœ ์ง€์ €๋ถ„ํ•˜๊ฒŒ ์ฐฌ ๋ชจ์Šต
  • ๊ณ ์–‘์ด ํ์ˆ˜์ข…์˜ ์ „ํ˜•์  : ์ข€ ์ง€์ €๋ถ„ํ•˜๊ฒŒ ๋‚˜ํƒ€๋‚จ, ๋‹ค๋ฅธ ํŒจํ„ด๊ณผ ํ—ท๊ฐˆ๋ฆผ
  • ํ๊ฐ€ ์ชผ๊ธ€์–ด๋“ค์–ด

  • ์˜ค์—ฐ์„ฑ ํ๋ ด (

Pattern ์š”์•ฝ

Pattern
Brochial pattern๊ธฐ๊ด€์ง€๋ฒฝ์ด ๋‘๋“œ๋Ÿฌ์ง€๊ฒŒ ๋ณด์ด๋ฉด
Alveolar pattern๊ฒ€์€์ƒ‰ ๋ฐฐ๊ฒฝ์ด ํ•˜์–—๊ฒŒ ๋˜๋ฉด
Nodular patternํฐ์ƒ‰ ์ ์ด ์ƒ๊ธฐ๋ฉด

๊ฒฐ์ ˆ

์—ฌ๋Ÿฌ ๊ฐœ์˜ ๊ฒฐ์ •์ด ์ž‘์•˜๋Š”๋ฐ ์ ์  ์ปค์ง - >ํ ์ข…์–‘์„ฑ ์ „์ด