1- 항생제 잘 안 듣기도. 수술이 매우 꼼꼼해야 함.
Surgical considerations

- Pinna : 귓바퀴
- 외이 : 수직귀길 and/or 수평귀길의 염증
- 중이 : 고실, 고막의 염증
- tympanic membrane, tympanic cavity, auditorial tube
- 내이 : 수술 시 잘 건드리지 않음.
사람에 비해 수직귀길이 하나 더 있어서, 귓병이 더 잘 생김.
술전 확인 사항
| 술전 확인 사항 | |
|---|---|
| Physical examination (신체 검사) | |
| - Thickening and calcification 확인 - 칼슘화 → 귀의 기능 상실, 심각한 감염과 괴사가 발생할 수 있으므로 신속한 전이도적출술 필요 | |
| Otitis interna (내이 손상 확인) | |
| - circling, nystagmus(안구진탕), vestibular dysfunction, hearing loss 확인 필요. - brainstem-auditory evoked response : 전극을 달아 brainstem으로 나오는 반응 검사 - 8번 뇌신경(Vestibulocochlear n.) 검사 → 전정신경(Vestibular n.) & 와우신경(Cochlear n.), 이 신경이 손상되면 듣지 못함. | |
| Otoscopic examination | |
- 수직/수평귀길 상태 파악, tympanic membrane rupture 확인, mass 확인 ![]() (왼: 정상, tympanic membrane이 malleus 끝에 있음. / 중 : 비정상, rupture / 오 : 비정상, mass) | |
| Radiographs & CT | |
| - Open mouth view → 방사선 - 칼슘화 확인 | ==CT : tympanic cavity, 중이== 확인 - 정상일 때는 연골이 크게 변하지 않지만, 칼슘화되면 많이 변함. - 심각할 때 (많이 부어있고, 이도 막혀 있고, 냄새 나고 등) CT를 통해 중이를 확인해야 함. - vertical/horizontal ear canal의 mass 확인 등 | |
| Ear cleansing | |
| - tympanic membrane의 rupture 확인한 뒤 소독. - rupture 되었다면 → 소독약 중 toxicity 높은 용액은 사용하면 안 됨. - Chlorhexidine 0.2%보다 높은 건 쓰지 않는다. - 고막이 손상된 경우 엄청 희석해서 쓰거나, 식염수를 사용. 혹은 ciprofloxacin, ofloxacin |
Ear cleansing
- tympanic membrane의 rupture 확인
- rupture 되었다면 → 소독약 중 toxicity 높은 용액은 사용하면 안 됨.
- Chlorhexidine 0.2%보다 높은 건 쓰지 않는다.
- 고막이 손상된 경우 엄청 희석해서 쓰거나, 식염수를 사용. 혹은 ciprofloxacin, ofloxacin
수술이 필요한 경우
Otitis externa
외이염
- 간과하고 방치 → 중이로 넘어감.
- 이도상피(외이 상피)에 생긴 염증.
- swimmer’s ear라고 표현함.
- High humidity & temperature : 동물들은 귀가 덮여 있어 통풍이 잘 안 되고, 약도 잘 안 들어감(수직이도를 잘 넘어가지 못함).
- 외이염을 일으키는 것 : 세균 감염, foreign bodies, 기생충, fungi, yeasts, 종양, 전신 질환(내분비 계열)
검사
- signalment
- Spaniels, basset hounds : 길고 pendulous한 귀, 귀지 가득
- 신체 검사: 귀가 두꺼워지거나 칼슘화
- otoscopic examinations
- Exudate collection
- yellow, cream-colored : 그람(-) 감염
- dark brown, black : yeast, staphylococcus, streptococcus
- bloody : 종양
- Biopsy : 종양, 알러지
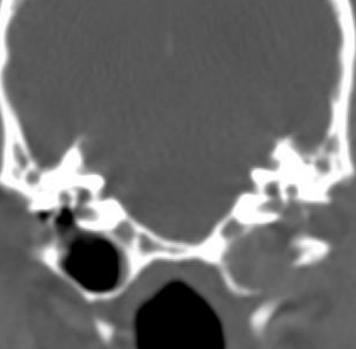
- 방사선, CT : concurrent otitis media, calcification, bone lysis (neoplasia)
이도가 뼈처럼 보임.
왼쪽 tympanic cavity 는 정상 / 오른쪽은 꽉 막혀 있고, 뼈도 없음.
오른쪽은 중이로 넘어가기 전에 빨리 조치 필요 / 왼쪽은 중이까지 이미 진행 / 동그라미는 petrous temporal bone; lysis가 일어나 개통성 있는 것처럼 보임 - 종양 의심
치료
- cleaning & drying 해서 괜찮아지면 → 마무리해도 됨.
- 실패하면 → 수술 필요. 귀쪽 수술은 완치 목적X, 약물 치료의 효과를 높이기 위해서가 많음. 외과적 조치 필요.
surgical treatment
-
약물 치료가 실패했을 때.
-
약물 치료를 돕기 위해 수술을 이용하기도 함.
-
Lateral ear canal resection (Zepp procedure)
- vertical에서 lateral side를 잘라냄 → 수평이도만 남김. → 통풍, draining 잘 되라고.
-
Vertical ear canal ablation
- lateral side를 잘라냄
- 360도로 vertical ear까지 들어냄.
- vertical 중에서도 medial까지 없어진
- vertical ear canal에 문제가 발생했으니 제거하겠지?
-
Total ear canal ablation (with lateral bulla osteotomy) : teca boo?
- vertical과 horizontal을 포함. 둘 다 abnormal한 경우.
- 단독으로 사용되는 경우는 거의 드물다.
Lateral ear canal resection
-
수술의 이점
- increasing drainage
- improving ventilation : drainage와 ventilation을 촉진하기 위해.
- facilitating placement of topical agents into the horizontal canal : 약물 잘 듣게 하기 위해 적극적으로 사용할 만한 방법. 치료 효과가 아주 좋아짐.
-
minimal hyperplasia나, 작은 neoplastic lesions
-
lateral만 제거했다 해서 full margin을 가지지 않음.
-
양성 종양의 full margin이 1cm. lateral ear canal resection은 free margin을 가지기 어렵다.
-
효과 없는 경우 : 수평이도가 협착/막혀 있는 경우 / 중이염, 심각한 이도상피의 hyperplasia가 있는 경우
- 전이도 적출 수술을 해야 한다는 건데, 그건 부작용이 꽤 있음. 그 전에 해볼 수 있는 lateral ear canal resection을 시도해보는 경우도 있음.
-
완치가 아니라 약물 효과 상승을 목적으로 하는 수술이기 때문에, 보호자 counseling이 충분히 이루어져야 함.
Zepp procedure
- tragus(중이염 심하면 잘 구분 안될 수 있지만..)에서 아래로 incision line을 쭉 그음. mosquito를 넣어 수직이도의 끝을 point-out하고 marking. 수직 이도의 길이의 1.5배까지 incision line 설정.
- * 외과의 procedure는 항상 분명한 목표를 가지고 가야 함.
- skin incision은 왜? 수직이도를 찾기 위해. (수직이도의 연골)
- mosquito를 이용해서 분리, 수직이도의 연골 (가장 끝자락) 확보.
- 수직이도 직경이 수평이도보다 조금 더 큼. 수평이도가 수직이도 안쪽으로 들어가면서 수직이도 끝이 약간 도드라짐.
- 180도에서 시작 → 수평이동의 정중앙이 아닌, ventral 끝면으로 향함.
- 피부를 봉합하려면,
- 연골을 포함하는 것을 일부 허용 (이도상피가
- 종양 같은 건 과감하고 공격적일 필요가 있지만, 이런 수술에서는 해볼 만한 작은 수술부터
Vertical ear canal resection
vertical ear canal 잘라내려면 피나의 연골까지 잘라내야 360도로 들어낼 수 있음. (C사진)
x

- opening을 insufficient하게 했을 때, 증상 개선이 적거나 재발할 수 있다.
- 진단이 잘못되어도 재발할 수 있다. ex-중이염을 간과했을 때, 수평이도의 mass를 간과했을 때


